Cuidamos tu sonrisa con un enfoque moderno, accesible y diseñado para adaptarse a tu estilo de vida.
La opción tradicional y efectiva para corregir la mordida y alinear tus dientes.
Una alternativa moderna y elegante con un acabado dorado que combina estilo y eficiencia.
La opción más discreta para alinear tu sonrisa sin brackets visibles.
La infancia es la etapa ideal para iniciar el tratamiento de ortodoncia, y por eso es recomendable que la primera consulta sea a los 7 años.
Cada vez más adultos eligen transformar su sonrisa. Tratamientos como Invisalign y los braces permiten corregir la mordida y alinear los dientes de manera discreta, cómoda y adaptada a tu estilo de vida.
Combinamos atención personalizada y tecnología moderna para que cada visita sea rápida, cómoda y fácil de manejar, especialmente para quienes vienen con sus hijos.
Desde Invisalign hasta braces metálicos y dorados, ofrecemos alternativas para todas las edades y preferencias.
Escaneos digitales, procesos ágiles y sistemas avanzados que hacen cada visita más rápida y precisa.
Sabemos lo ocupados que pueden ser tus días. Por eso, en nuestra práctica de ortodoncia en San Juan encontrarás un equipo amable y la comodidad de estacionamiento fácil con área de drop-off bajo techo, para que cada visita sea más práctica para ti y tus niños.
Si estás considerando ortodoncia para tus hijos o para ti, me encantaría recibirte en una consulta gratuita. Evaluaré tu caso, revisaré tu mordida y te daré un estimado preliminar para que sepas si es el momento correcto para iniciar el tratamiento. Mi compromiso es orientarte con claridad y ayudarte a tomar una decisión informada.
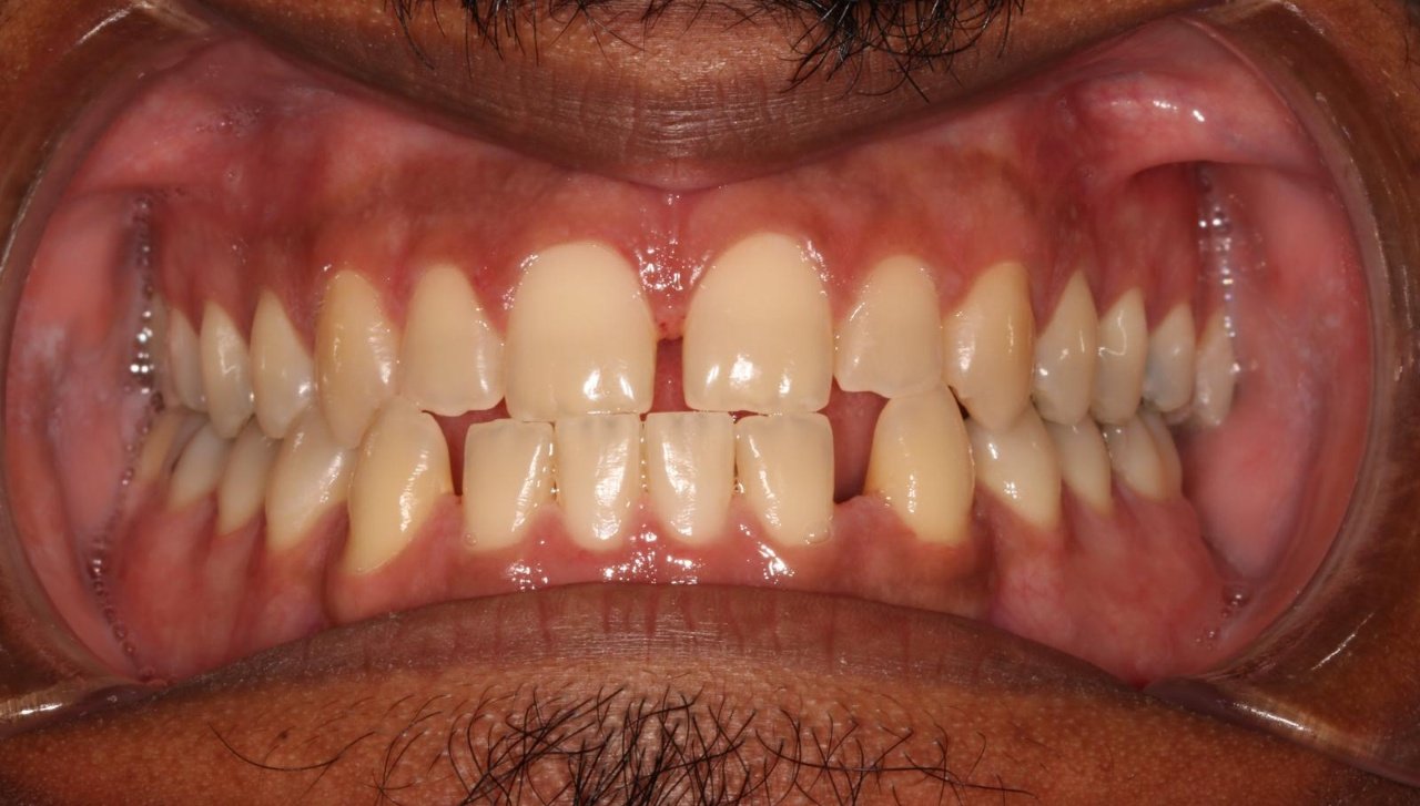
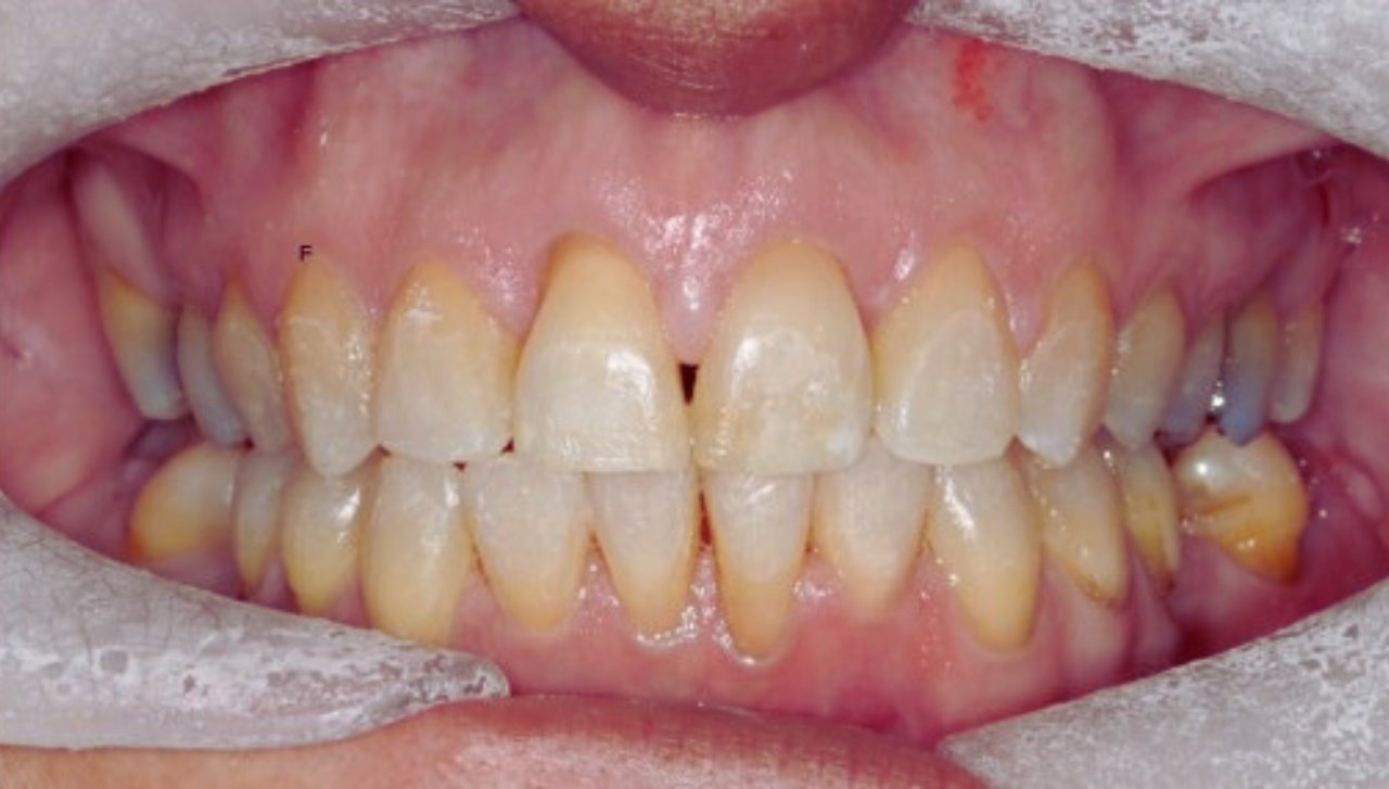
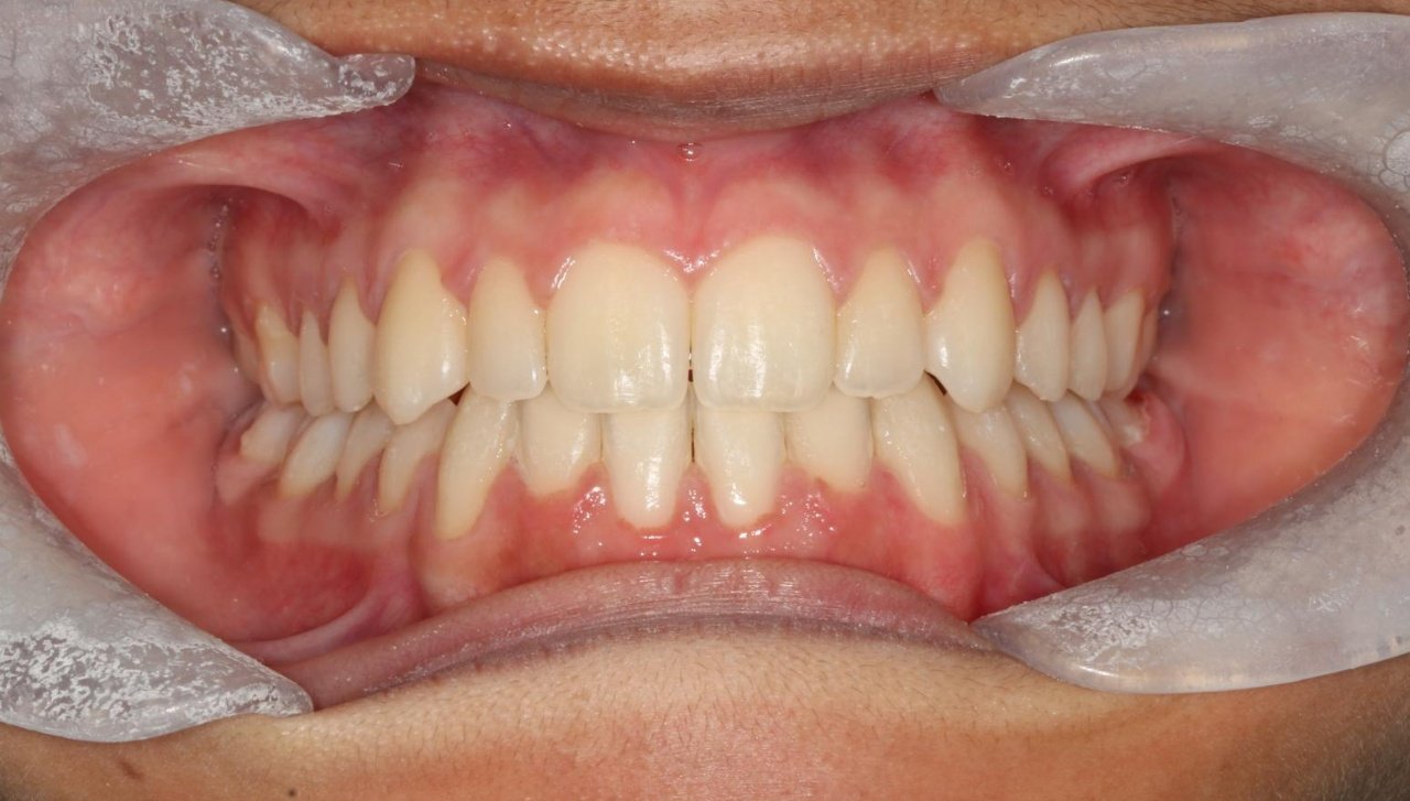
Porque no se trata solo de tener una sonrisa bonita. La ortodoncia corrige la mordida, mejora la función, facilita la higiene y previene problemas futuros, como caries, desgaste dental o molestias en la mandíbula. Es una inversión en tu salud… y en tu confianza.
Si estás considerando ortodoncia para tus hijos o para ti, me encantaría recibirte en una consulta gratuita. Evaluaré tu caso, revisaré tu mordida y te daré un estimado preliminar para que sepas si es el momento correcto para el iniciar tratamiento. Mi compromiso es orientarte con claridad y ayudarte a tomar una decisión informada.
Porque no se trata solo de tener una sonrisa bonita. La ortodoncia corrige la mordida, mejora la función, facilita la higiene y previene problemas futuros, como caries, desgaste dental o molestias en la mandíbula. Es una inversión en tu salud… y en tu confianza.



Publicado en José PauloTrustindex verifica que la fuente original de la reseña sea Google. Excelente trato. Oficina moderna y el staff es súper amable!Publicado en Celeste Meléndez JiménezTrustindex verifica que la fuente original de la reseña sea Google.